電話する

ご注文

床矯正についてのご案内

アゴの骨を健全に発達させることを第一に考え、なるべく歯を抜いたりや削ったりしない矯正治療法です。特にお子様の矯正治療をお考えの方は、一度ご相談ください。

床矯正の考え方

床矯正の「床」とは入れ歯のことです。1935年ウィーンの歯科医師Schwarz・シュワルツが顎を拡大する床矯正〔しょうきょうせい〕の基礎を樹立しました。背景にはナチス・ドイツが歯科医療に貴金属の使用を禁止したという背景があります。そのため貴金属の代わりに入れ歯を固定源にすることで、歯を動かしたり、あごを拡大したりする装置が考え出されました。

この床矯正は主にヨーロッパで行われた治療法です。現在のところ日本では、アメリカの矯正治療法が主流になっています。日本では可撤式床矯正(かてつしき・しょうきょうせい)と呼びます。

矯正治療の3つの考え方

矯正治療は外科的矯正、補綴(ほてつ)的矯正、保存的矯正の3つの違った立場で治療します。

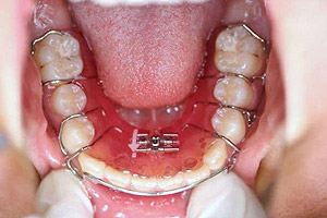
保存的矯正(床矯正)の考え方

保存の立場の矯正治療では、歯を抜くのではありません。顎を拡げることによって(正しい顎の大きさに戻して)歯の移動を行います。入れ歯を「床」と呼びます。

床装置は要ればと同じで、簡単に取り外しができます。床装置は入れ歯に組込まれたネジを拡げることで、アゴや歯を動かします。

外科を基本とする治療の例

抜歯をした子供の歯。子供にとって左の写真のような状態にするのは残酷ともいえます。

サイト内検索: